뇌경색 초기증상 및 대처방법 알아보기
뇌경색은 심각한 질환이며, 뇌의 혈액 공급이 갑작스럽게 중단되어 뇌 조직 손상을 일으키는 질환입니다. 뇌경색은 인구 공통질환 중 하나로, 세계적으로 매년 수백만 명이 발생하며, 그 중 많은 수가 사망하거나 영구적인 장애를 남기게 됩니다. 하지만 뇌경색이 조기에 발견되고 적절한 치료가 이루어진다면, 후유증을 예방하거나 최소화할 수 있습니다. 이번 글에서는 뇌경색 초기증상과 대처방안에 대해 알아보겠습니다.






뇌경색 초기증상
뇌경색은 뇌 혈관이 막혀서 뇌 조직이 손상을 입는 질환입니다. 뇌경색 초기증상은 급격한 삼킴 및 말초 신경 장애, 말더듬, 균형 장애, 시야 장애 등이 있습니다. 또한 신체의 한쪽면이 약해지거나 마비되는 경우도 있습니다. 뇌경색 초기증상이 발생하면 반드시 응급실을 방문하여 신속한 치료가 필요합니다.
뇌경색 초기 증상에 대한 인지 및 대처 방법
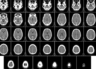
뇌경색 초기 증상에 대한 인지 및 대처 방법을 알고 있다면, 조기 진단 및 치료가 가능해지며 후유증을 예방할 수 있습니다. 뇌경색 초기증상을 인지하는 것은 매우 중요합니다. 뇌경색 초기증상이 있는 경우, 바로 응급실에 신고해야 합니다. 응급실에서는 CT 검사를 통해 뇌경색의 정확한 위치와 심각성을 파악할 수 있습니다.






뇌경색 초기증상이 있는 사람은 반드시 안정된 상태로 유지되어야 하며, 치료 전까지 피로하거나 스트레스를 받는 일을 피해야 합니다. 뇌경색 초기증상이 있는 사람은 반드시 전문가의 치료를 받아야 하며, 치료 후 재활 프로그램을 진행해야 합니다. 재활 프로그램은 치료 후 신체 기능 회복을 위한 목적으로 진행되며, 개인의 상태에 맞게 맞춤형 프로그램을 제공합니다.
마무리
뇌졸중은 아무 때나 발생할 수 있는 위험한 질환입니다. 하지만 뇌졸중 초기증상을 인지하고 대처한다면, 후유증을 예방할 수 있습니다. 뇌졸중 초기증상은 매우 중요하기 때문에, 모든 사람이 그에 대한 인지와 대처 방법을 알고 있어야 합니다. 또한, 건강한 생활 습관을 유지하고, 식습관과 운동습관을 개선함으로써 뇌졸중 발생 가능성을 줄일 수 있습니다.